近日,我院心血管内科实现重要技术突破——在学科带头人邢伟院长、田晓岚副院长的带领下,获中国医科大学附属第一医院心内科李阳教授的技术支持,成功为一名76岁高危房颤患者实施房颤射频消融联合左心耳封堵“一站式”手术。这是丹东地区首次开展此类手术,标志着当地房颤诊疗水平迈入“心脑同护、高效治疗”的新阶段,为区域内房颤患者带来更优质的诊疗选择。
高危患者遇难题,多学科协作定方案
此次手术的患者为76岁男性,入院时被确诊为“心律失常、持续性房颤”,同时伴有高血压、冠心病、心衰病史,经评估,其卒中风险与出血风险均处于高危水平。若采用传统治疗方式,不仅难以同时兼顾“控制房颤”与“预防血栓”两大需求,还可能因患者基础疾病多、身体耐受度差而增加治疗风险。
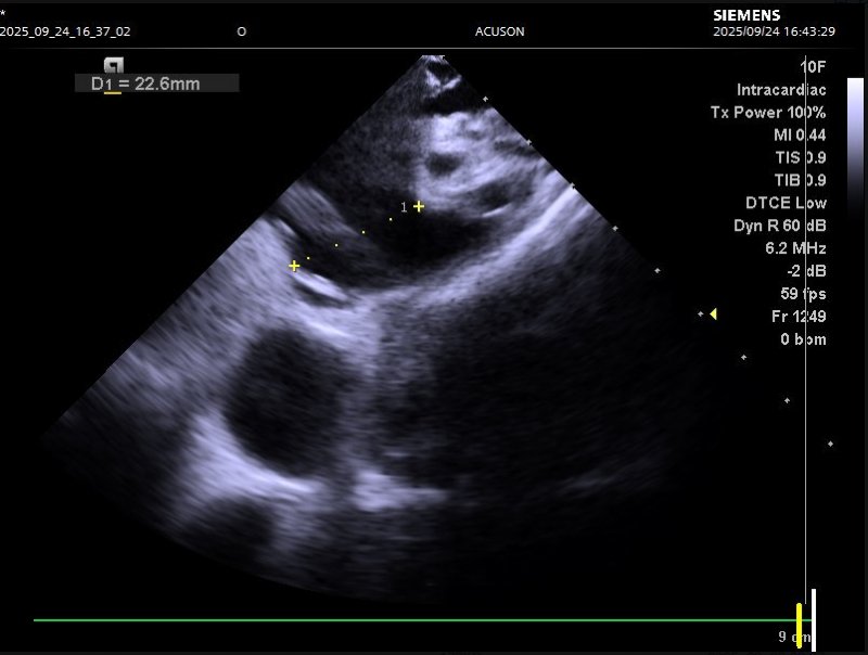
针对这一复杂病情,心血管内科系主任姜大明带领心律失常介入团队迅速开展多学科会诊。为确保手术安全与精准性,团队特邀李阳教授共同制定方案,并联合超声科1、CT科、麻醉科1等多科室提前做好术前准备:何昊医生与陈银凤医生通过食道超声检查,精准测量患者左心耳开口大小与形态,排除血栓隐患;CT科单世馨主任、马福成医生完成左心耳CT三维重建,清晰呈现解剖结构,为封堵器选型与手术路径规划提供“导航支持”。
食道超声及肺静脉CTV清晰呈现左心耳解剖结构
三小时完成“双操作”,术后恢复超预期
9月24日,手术在导管室正式开展。在麻醉医生王敏的全程保障下,手术团队借助心腔内超声(ICE)实时引导,仅用三小时便顺利完成两项关键操作:先是通过射频消融术,将导管经外周血管送入心脏,释放射频电流消融异常电信号传导路径,帮助心脏恢复正常节律;随后又通过左心耳封堵术,将封堵器精准送入左心耳并固定,隔绝血栓形成“温床”,从根源降低脑栓塞风险。
术后复查结果显示,患者心律成功由房颤转为窦性心律,左心耳封堵器位置精准、无残余分流,两项治疗目标均完美达成。术后第一天,患者即可下床活动,目前康复状况良好,已逐步恢复正常生活。
“一站式”手术优势显著,多学科协作铸实力
“房颤患者发生栓塞的风险是正常人的5-6倍,且90%的血栓来源于左心耳。‘一站式’手术将‘控制房颤’与‘预防卒中’两大目标融为一体,尤其适合血栓风险高、有抗凝禁忌的患者。”姜大明主任介绍,相较于传统分次手术,“一站式”手术不仅能减少患者的手术创伤与治疗周期,还能降低整体医疗费用,更有利于改善患者远期健康预后,是“以患者为中心”诊疗理念的生动实践。
此次手术的成功,不仅体现了我院心血管内科在电生理介入领域的深厚技术积累,更离不开护理团队、导管室、超声科、CT科等多科室的高效协作。从术前评估到术中操作,再到术后护理,各科室紧密配合、无缝衔接,为手术安全与患者康复筑牢了“保障防线”。
两大技术“双管齐下”,守护心脑健康
此次手术融合的两项核心技术,是当前治疗房颤的“黄金组合”。
射频消融术:作为房颤治疗的“精准打击武器”,通过微创方式消融心脏内异常电信号,帮助恢复正常节律,解决房颤引起的心慌、乏力等症状。
左心耳封堵术:针对房颤患者血栓主要发源地——左心耳,通过封堵器隔绝左心耳与心脏其他部位,从源头阻断血栓形成,大幅降低脑栓塞风险。
而“一站式”手术将两者结合,实现“一次手术、双重保障”,为房颤患者提供了更高效、更安全的治疗选择。
房颤虽危害较大,但通过射频消融、左心耳封堵等先进技术可有效控制。若市民出现心悸、胸闷、头晕等疑似房颤的症状,需及时就医,避免因延误治疗增加卒中风险。
为方便患者就诊,我院已开设房颤特色门诊。
出诊时间:每周三全天
出诊地点:丹东市中心医院医疗卫生综合楼2楼10诊室
出诊专家:慕翠翠副主任医师
医院将持续推动“一站式”手术的规范化应用,不断提升区域心血管疾病诊疗水平,让更多房颤患者在家门口就能享受到高质量的医疗服务。

