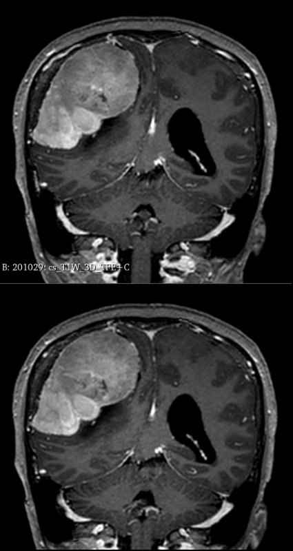
近日,我院神经外科团队借助3D Slicer三维重建、神经导航与CUSA超声吸引技术协同发力,成功为一名57岁女性患者切除右侧顶部5.8×5.4×4.6cm的巨大功能区脑膜瘤。患者术后恢复顺利,神经功能完整保留,标志着我院在复杂颅内肿瘤精准微创治疗领域取得新突破。
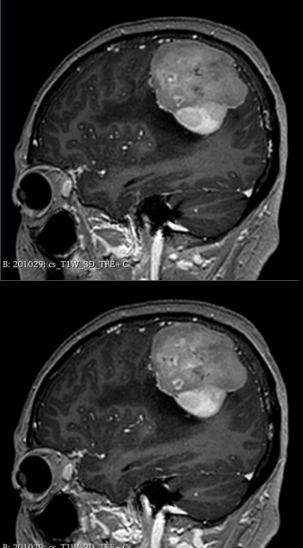
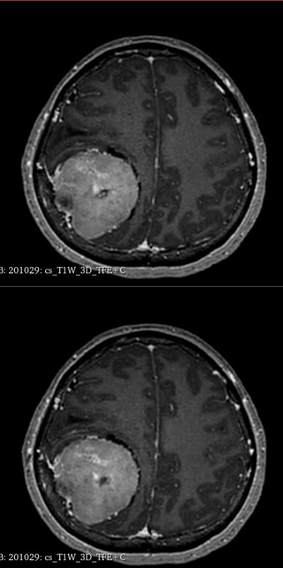
据悉,该患者因“间断头痛4年、加重伴头晕4个月”就诊。头颅MRI检查显示,其右侧顶部巨大占位紧邻中央沟功能区及上矢状窦等重要血管。
多技术协同:精准规划+实时导航+微创切除
为保障疗效与安全,团队术前制定个体化方案,通过多模态技术构建全流程精准诊疗体系。
术前精准建模:运用3D Slicer软件整合多模态影像数据重建三维模型,清晰呈现肿瘤与周边功能区、血管的空间关系,为手术规划提供精准数字化依据。
术中实时导航:神经导航系统全程启用,精准匹配术前数据与术中体位,实时定位手术器械位置,成功避开关键功能区及血管,保障操作安全。
CUSA微创切除:采用“瘤内减压+分块切除”策略,借助CUSA超声吸引器精准破碎吸除肿瘤组织,降低对脑组织牵拉,完整保留中央沟静脉及功能区皮层。
术后恢复良好:肿瘤全切,功能完整
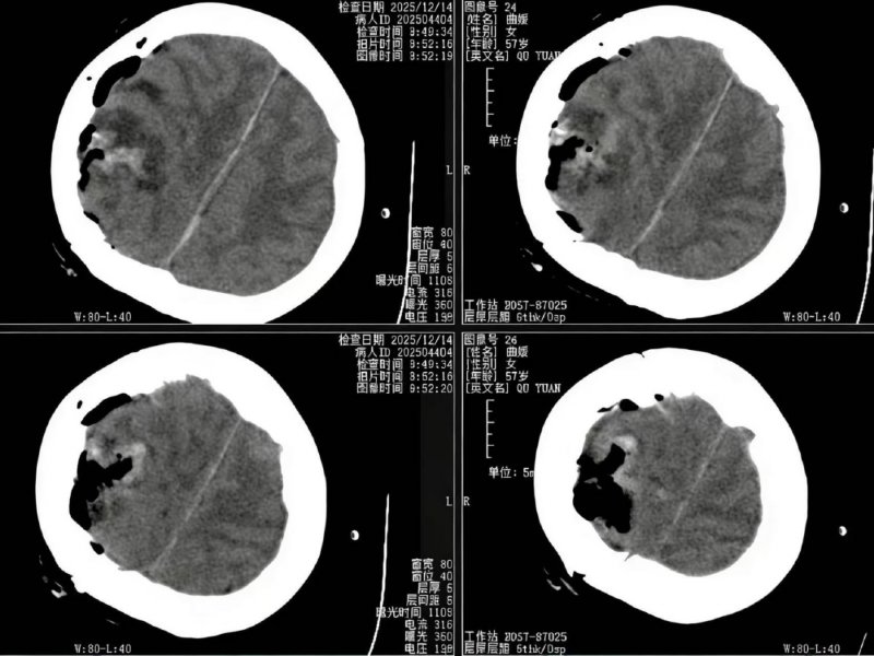
术后复查CT提示肿瘤全切,患者无新增神经功能障碍。病理结果为WHOⅠ级良性脑膜瘤,患者已顺利康复出院。
技术突破:为复杂颅内肿瘤治疗提供新范式
此次手术的成功,彰显了多模态技术协同优势。该联合体系实现了复杂肿瘤根治性切除与神经功能保护的双重目标,降低了手术风险,为同类疾病治疗提供了个体化微创方案,进一步提升了我院神经外科精准医疗水平,惠及区域内肿瘤患者。

地址: 辽宁省丹东市振兴区锦山大街338号
电话:0415-6161187、6161984
技术支持:新思维网络